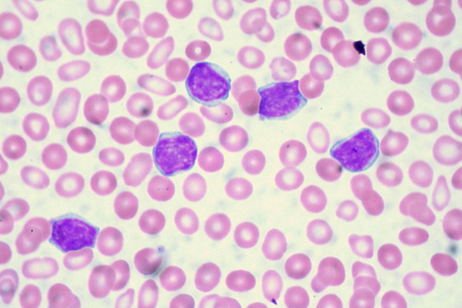
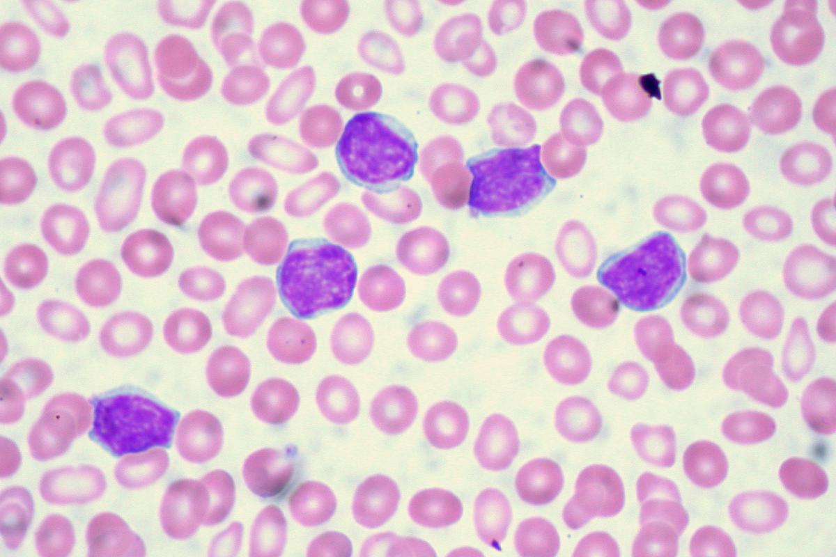
O que são linfócitos


O nosso sistema imunitário tem como função combater todos os organismos estranhos que possam entrar no nosso organismo. Este sistema é composto por vários tipos de leucócitos e os principais são os linfócitos. Assim, os linfócitos são um tipo de célula que produz anticorpos para defender o organismo de possíveis infeções. Os linfócitos em conjunto com os basófilos, eosinófilos, neutrófilos e os monócitos formam os glóbulos brancos do sangue. Estas células podem chegar a viver durante anos ou até mesmo décadas. Existem três tipos de linfócitos, exercendo cada um deles funções específicas na defesa do organismo, temos assim os linfócitos tipo B, linfócitos T e os linfócitos Natural Killer (NK). Continue lendo este artigo de umComo.com.br e saiba mais sobre o que são os linfócitos.
Tipos de linfócitos
Como foi dito anteriormente, existem três tipos de linfócitos:
- Linfócitos T - estes linfócitos têm como função proteger contra vírus, bactérias e fungos e também são responsáveis por diferenciar as células do organismo de corpos estranhos.
- Linfócitos B - têm como função reconhecer os antígenos, corpos estranhos, e por sua vez produzir anticorpos contra os mesmos.
- Linfócitos Natural Killer (NK) - estes linfócitos fazem parte da defesa imediata do corpo, são células grandes que atuam normalmente contra células cancerígenas e infeções virais.
Valores de referência
Para conhecer os valores de linfócitos, deverá solicitar ao seu médico um exame de sangue denominado de leucograma, que é normalmente apresentado no hemograma.
Os valores de referência de linfócitos são entre 20 e 50% ou 1500 e 5000/mm3 de sangue.
Linfócitos altos
Quando o paciente apresenta linfócitos altos - linfocitose - significa que pode apresentar alguma infecção como:
- Hepatite viral;
- Rubéola;
- Toxoplasmose;
- Infeção aguda por HIV;
- Leucemia linfocítica crônica ou aguda.
Para saber mais sobre as causas dos linfócitos altos, veja o nosso artigo sobre quais são as causas dos linfócitos altos.
Linfócitos baixos
Caso o paciente apresente uma contagem baixa de linfócitos, pode dever-se a:
- Infeções e doenças agudas;
- Doença de Hodgkin;
- Lúpus;
- Insuficiência renal;
- Anemia aplásica;
- AIDS.
É normal que durante a gravidez, a mulher apresente uma contagem baixa de linfócitos. Saiba quais são as causas dos linfócitos baixos durante a gravidez.
Este artigo é meramente informativo, no umCOMO não temos capacidade de receitar nenhum tratamento médico nem realizar nenhum tipo de diagnóstico. Convidamos você a recorrer a um médico no caso de apresentar qualquer tipo de condição ou mal-estar.
Se pretende ler mais artigos parecidos a O que são linfócitos, recomendamos que entre na nossa categoria de Doenças e Efeitos Secundários.