Leucócitos

Quais são os valores normais de monócitos? Todas as informações!

Quais são os valores normais de monócitos? Todas as informações!

Os monócitos são um tipo de células do sistema imunológico cuja função é combater vírus e bactérias, protegendo o organismo desses corpos estranhos. Para determinar o valor de monócitos, o paciente necessita fazer um exame de sangue chamado leucograma ou um hemograma completo (para saber a quantidade de células que defendem o organismo). Se você gostaria de saber quais são os valores de referência deste tipo de célula, continue lendo o artigo e descubra quais são os valores normais de monócitos.

Também lhe pode interessar: Quais os valores normais de hematócritos
Índice
  1. Valores normais de monócitos
  2. Monócitos altos: monocitose
  3. Monócitos baixos: monocitopenia

Valores normais de monócitos

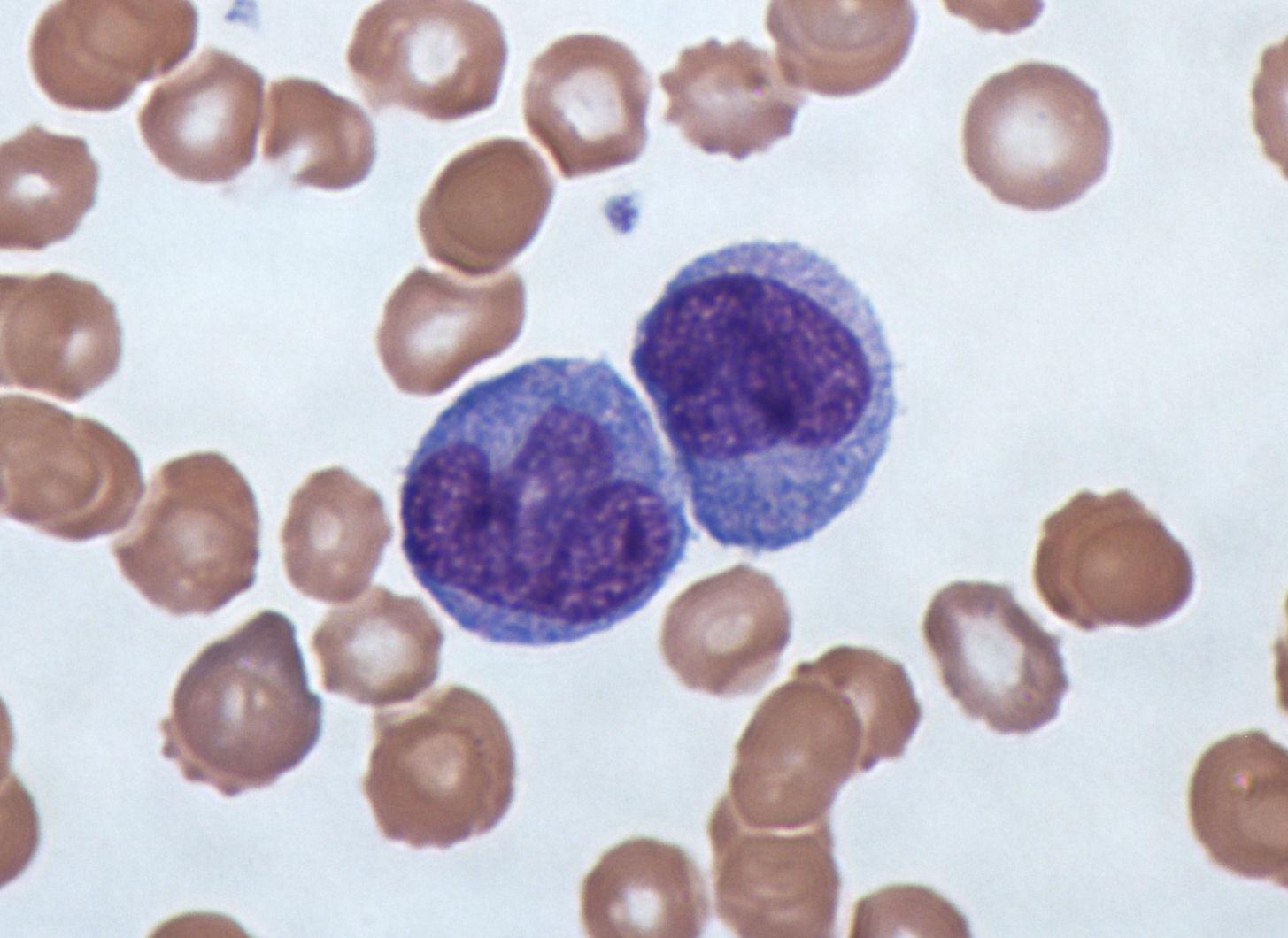
Os monócitos são gerados na medula óssea e viajam pelo sangue em direção aos tecidos de diferentes órgãos, sendo chamados de macrófagos nessa fase. Sua principal função é, então, eliminar restos celulares e micro-organismos, um processo que recebe o nome de fagocitose. Dependendo do tecido onde se encontram, podem ser chamados de:

  • Fígado: Células de Kupffer
  • Sistema nervoso: Microglia
  • Epiderme: Células de Langerhans

Os monócitos representam entre 4 e 8% de células brancas no sangue. Em um exame de sangue, encontramos o seu valor na seção de hemograma junto com os outros tipos de células leucocitárias. Os valores normais de monócitos encontram-se entre: 1000 e 4500 células por ml. Regra geral, uma contagem baixa de monócitos é bom sinal. Já os valores altos podem indicar que algo de errado está acontecendo no organismo da pessoa.

Dica: Saiba mais sobre o que são os monócitos nesse artigo do umCOMO.

Monócitos altos: monocitose

Quando os monócitos superam os valores normais, a causa mais comum são as infecções originadas por vírus ou parasitas (como tuberculose e sífilis), doenças auto-imunes (como lúpus) ou artrite reumatóide, embora também possam ser originados por tumores ou leucemias. A contagem elevada destas células recebe o nome de monocitose, também sendo chamada de monócitos altos.

Sintomas

Os sintomas de monócitos altos incluem:

  • Fadiga
  • Fraqueza
  • Febre
  • Mal-estar geral

Geralmente, a monocitose não tem sintomas particulares associados. O mais frequente é o paciente descobrir que sofre da condição através do exame de sangue de rotina ou em exames de outras enfermidades. Se os sintomas acima citados se manifestarem no paciente, ele pode facilmente confundi-los com muitos outros problemas de saúde, o que prejudica a precisão do diagnóstico.

Tratamento

Para tratar a monocitose, é necessário tratar o problema que a está provocando, já que os monócitos são, eles mesmos, um sintoma de um outro problema. Por esse motivo, o tratamento é tão variado quanto as possíveis condições que estão provocando a monocitose- Em caso de infecção ou inflamação, os medicamentos prescritos apresentam bons resultados. O uso de antibióticos ou fármacos esteroides pode normalizar os valores de monócitos no sangue, mas em alguns casos a condição vira crônica. Em casos de câncer, pode ser necessário um tratamento mais severo como quimioterapia, radioterapia ou cirurgia.

Monócitos baixos: monocitopenia

Quando os valores destas células são baixos, o processo que o organismo sofre é chamado monocitopenia. Uma contagem baixa de monócitos pode ocorrer por deficiências de vitaminas, pelo uso de certos medicamentos ou até por doenças físicas.

Condições que prejudicam a função normal da medula óssea são uma causa particularmente comum. O HIV, doença que pode provocar AIDS, é um dos exemplos que pode comprometer seriamente o sistema imunológico, assim como a artrite reumatoide. O Lúpus também pode provocar monocitopenia, podendo mesmo chegar a provocar falta de ar, perda de cabelo ou falhas de órgãos.

Alguns medicamentos também podem provocar esta condição, sendo os corticosteroides (usados para tratar doenças como lúpus e artrite), os medicamentos usados em quimioterapia e interferon oral os mais prováveis.

As deficiências nutricionais de folato ou vitamina B12 também podem estar provocando a falta de monócitos no sangue, algo que pode ser avaliado no exame de sangue.

Tratamento

O tratamento deve ser individualizado, como acontece no caso dos monócitos altos. O médico pode recomendar diferentes exames para determinar o que está provocando a condição no seu caso específico. O tratamento pode exigir antibióticos ou até mesmo diferentes fármacos e tratamentos, já que depende estritamente da causa da monocitopenia.

Este artigo é meramente informativo, no umCOMO não temos capacidade de receitar nenhum tratamento médico nem realizar nenhum tipo de diagnóstico. Convidamos você a recorrer a um médico no caso de apresentar qualquer tipo de condição ou mal-estar.

Se pretende ler mais artigos parecidos a Quais são os valores normais de monócitos? Todas as informações!, recomendamos que entre na nossa categoria de Doenças e Efeitos Secundários.

Artigos relacionados
Escrever comentário
O que lhe pareceu o artigo?
12 comentários
otaniel cardoso
meu filho tem 17 anos esta com dificuldade para respirar, e perdeu o animo para tudo, fez hemograma e os monócitos estão com 84/mm³
Sandra Maria G. Nascimento
meu exame deu: 1 - 70/mm3 referência 4,0 a 4;00% = 200 a 800/mm3
Isabel Cristina da Silva Alves
gostaria de saber o meu filho tá com o monocitos baixo o que significa
mirian moreira
meu resultado desse exame monócitos deu 874/ul 12,63% o que isso pode acarretar minha saude
Rosineide M De Oliveira
bom dia eu gostaria de saber oque sgnifica este resultado linfocitos 30 %2.520\mm3 monocitos 7 % 588 \mm3 ENBAIXO ESCRITO OBSERVAÇOES . . .: -ME RESPONDE POR FAVOR
A sua avaliação:
suely
meu filho de 13 anos fez um hemograma e o eosinofilos passou de 7.500 e o basofilos de 1.700 e o monocitos passou de7.800 o que isso quer dizer por favor me ajude
A sua avaliação:
neusa gomes
exame com monócitos no valor de 16,1% 1787,1 é normal? em criança de 1 ano
A sua avaliação:
eurimar Marques Pacheco
minha filha tem microcito um por cento e rui as plaquetas deu 270
Maria ielva de Sousa leite dos santos
Os meus monócitos estão a 4,8%, as plaquetas a 816 estão normais? São artigos mt explicidos. Obg.
Poliana
Boa noite, hoje peguei os resultados do exame do meu filho. Hemograma e o resultado é presença de discreta monocitose relativa isso é bom ou ruim.
maria José
Tenho uma saúde perfeita. minha alimentação é bem balanceada, como muita frutas e verduras, pouca carne. tenho 51 anos, não tomo nenhum medicamento, mas nos exames de sangue, não apareceu nenhum monócito por campo, o que significa isso? O meu único vicio é um cafezinho pela manhã e logo depois do almoço. E fiz uma endoscopia que constatou a presenta da bactéria H.pylori. Resultado no sangue IgM 25,7. divertículos no intestino também. Não consigo ficar sem o cafezinho. Será que isso tem a ver com a baixa de monócitos?
Elisabete Tavares
boa noite o meu filho recebeu hoje umas analises e ainda não mostrei ao médico mas os valores dos monócitos são 7.9, posso considerar altos? obrigado
Quais são os valores normais de monócitos? Todas as informações!