8 causas das pontadas na cabeça


A dor de cabeça é um sintoma que se apresenta com muita frequência nas pessoas e pode ser provocada por diferentes causas, como resfriado, ansiedade, estresse ou falta de hidratação. A dor pode variar, manifestando-se como pontadas na cabeça, dor aguda, leve, intensa e também depende da zona na qual se encontre, podendo afetar a parte frontal ou algum dos dois lados da cabeça, entre outros. Quando a dor de cabeça se apresenta com pontadas, pode se tornar bastante desconfortável e é normal que possamos nos assustar. Ainda que em princípio não deva significar nada de grave. Neste artigo do umCOMO vamos explicar para as principais causas das pontadas na cabeça, seus outros sintomas e tratamentos
Cefaleia em surto
Tipo de dor: pontadas na cabeça do lado esquerdo ou direito
Uma das causas que pode estar provocando as pontadas na cabeça é a cefaleia em surto. Trata-se de um tipo de dor de cabeça presente em um dos lados da cabeça e que aparece em forma de surto. A causa principal costuma ser a liberação repentina de histamina no corpo ou de serotonina. Manifesta-se em forma de pontadas, fisgadas na cabeça ou pequenas descargas elétricas.
Causas da cefaleia em surto
As causas deste tipo de dor de cabeça podem ser:
- Consumo de álcool e fumo;
- Desidratação;
- Muito tempo sem comer;
- Submeter-se a grandes esforços físicos;
- Estar exposto a uma luz muito intensa;
- Medicamentos específicos.
Tratamento para cefaleia em surto
O tratamento para esse tipo de dor da cabeça varia de acordo com a sua causa. Para as causas citadas acima, se hidratar com muita água e se alimentar com alimentos leves e saudáveis podem resolver.
Sugestão: Remédios caseiros para dor de cabeça
Neuralgia Occiptal
Tipo de dor: pontadas na cabeça perto da nuca que duram segundos ou na parte posterior da cabeça
Outra doença que pode gerar pontadas na cabeça é a neuralgia occipital, também conhecida como 'dor de cabeça por má postura'. Manifesta-se como uma dor que tem lugar na parte posterior da cabeça, podendo aparecer também na parte superior do pescoço e na base do crânio. As pontadas podem estar presentes de forma contínua ou esporadicamente, como pontadas na cabeça que duram segundos ou queimação, e encontrar-se em uma das partes da zona afetada ou em ambas.
Causas da neuralgia occiptal
- Contusões e golpes intensos;
- Má postura (muito tempo com o pescoço abaixado olhando o celular).
Tratamento para neuralgia occiptal
Além de uma correção postural, que é também uma medida preventiva, costumam ser receitados analgésicos para bloqueio no nervo occiptal e relaxantes musculares. Dependendo da causa, a aplicação de calor e massagem também podem aliviar os incômodos.

Cefaleia tensional (pontadas na cabeça por ansiedade)
Tipo de dor: pressão em uma zona da cabeça ou dor generalizada na cabeça
Quando se produzem tensões musculares em algumas zonas como a cabeça, couro cabeludo ou o pescoço, pode aparecer dor de cabeça conhecida como cefaleia tensional. Este tipo de dor de cabeça que implica na tensão dos músculos costuma ser gerada por situações de estresse, ansiedade ou depressão. Pode aparecer em qualquer idade, ainda que os adultos sejam mais propensos a sofrer dela. Comportamentos como ficar sentado muito tempo na mesma posição, digitar em um computador ou algumas posturas prolongadas, podem desencadear a cefaleia tensional. Você pode seguir uma série de conselhos para evitar a dor de cabeça tensional.
Sintomas da cefaleia tensional
Quando ela ocorre, pode apresentar sintomas como:
- Dor surda;
- Pressão em uma zona da cabeça;
- Dor generalizada na cabeça que costuma aparecer no final do dia;
Causas da cefaleia tensional
- Estresse;
- Ansiedade;
- Depressão;
- Falta de descanso;
- Bruxismo;
- Excesso de álcool ou cafeína;.
- Má postura por tempo prolongado.
Tratamento para cefaleia tensional
O mais recomendado é tratar da causa da dor de cabeça tensional. Em casos moderados um analgésico pode aliviar o desconforto. Outra opção a curto prazo, enquanto você não consulta um médico são os remédios caseiros para dor de cabeça citados no vídeo abaixo:

Cervicalgia (torcicolo)
Tipo de dor: dor na nuca e incômodo ao mexer a cabeça
A cervicalgia é uma dor localizada no pescoço que se deve a um espasmo dos músculos paravertebrais, responsáveis pelos movimentos e a estabilidade das vértebras. A principal causa da cervicalgia são os acidentes de carros, ainda que também possa se desenvolver por estresse psíquico, provocando pontadas na cabeça ao estar danificada a musculatura do pescoço. Em muitas ocasiões é a causa de licença médica no trabalho e tem uma alta taxa de recaídas. Há diferentes causas que podem provocar a cervicalgia, entre as quais se encontram: infecções, fraturas vertebrais, artrose cervical, pontada cervical, etc.
Causas da cervicalgia
- Lesões musculares ou articulares;
- Má postura;
- Traumas na cervical;
- Estresse;
- Falta de condicionamento físico.
Tratamento par cervicalgia
O torcicolo, ou cervicalgia, deve ser tratado de acordo com a sua causa e o parecer de um especialista. Para o alívio imediato da dor costumam ser receitados relaxantes musculares. Enquanto a longo prazo, e como medida preventiva, sessões de fisioterapia.

Enxaqueca
Tipo de dor: pontadas na cabeça próximo aos olhos, podendo se deslocar para outras partes.
Aquelas pessoas que sofrem de enxaqueca podem apresentar dores que se manifestam com pontadas na cabeça. Essas dores podem estar localizadas na zona da têmpora ou ao redor de um dos olhos, com a possibilidade de se deslocarem para outras zonas da cabeça. Pôde-se demonstrar que a enxaqueca pode ser transmitida geneticamente e costuma aparecer entre os 10 e 30 anos de idade.
Causas da enxaqueca
Ainda que se desconheçam as causas exatas que provocam a enxaqueca, existe uma série de fatores que podem estar relacionados:
- Genética. Como indicamos anteriormente, a enxaqueca pode ser transmitida geneticamente.
- Hormônios. Quando se produzem mudanças hormonais, como durante a ovulação ou a menstruação, é mais comum que ocorram enxaquecas. Além disso, o uso de anticoncepcionais orais também produz mudanças hormonais.
- Estresse. Submeter-se a situações de estresse pode resolver em enxaqueca por tensão muscular.
- A falta de sono provocada por alguns transtornos como a insônia ou outras alterações.
- Consumir álcool e fumar.
Tratamento preventivo da enxaqueca
A enxaqueca é uma cefaleia primária frequente e incapacitante. Caracteriza-se pela recorrência de crises de cefaleia associadas com uma combinação variável de sintomas neurológicos, afetivos, autossômicos e gastrointestinais. O objetivo do tratamento preventivo é diminuir a frequência, intensidade e duração das crises:
Quando tentar um tratamento preventivo para enxaqueca?
O tratamento preventivo é considerado quando aparecem crises frequentes que interferem nas atividades diárias, quando existem efeitos colaterais pelo uso de remédios durante as crises ou em formas pouco frequentes de enxaqueca.
Mudanças no estilo de vida
Como primeira medida é crucial saber que o estilo de vida vai influenciar no estado de sensibilidade cerebral, já alterado pela enxaqueca.
Isto significa que as pessoas que sofrem de enxaqueca precisam de regular suas vidas, manter uma dieta saudável e equilibrada, fazer exercício regularmente, manter um horário de sono estável com um número de horas de descanso e evitar o excesso de cafeína e álcool.
Remédios para enxaqueca
Existem várias categorias de remédios com diferentes graus de eficácia e diferentes tipos de efeitos colaterais que devem ser sempre receitados por um médico.
- Os remédios de primeira escolha costumam ser: betabloqueantes (propranolol 40-240 mg), ácido valpróico (400-1000 mg via oral) e amitriptilina (25 mg/12 horas via oral).
- Os de melhor perfil são a amitriptilina e o propranolol. Se qualquer um destes 2 remédios não fizer efeito, sozinho ou combinado, tente outro fármaco como o ácido valpróico.
- Deverá começar com uma dose baixa e aumentar lentamente. Esta condição é importante para os antidepressivos.
- Antes de decidir a falta de eficácia é preciso manter o tratamento de 6 a 8 semanas com uma dose adequada, para depois trocar para outro tratamento profiláctico.
- O tratamento será mantido por pelo menos 3 meses e, se depois de 6 meses, os objetivos forem cumpridos, realiza-se a tentativa de suspensão.
- Nunca tome medicação que piore a condição de base (não dar propranolol para asmáticos ou pessoas que sofrem de depressão).
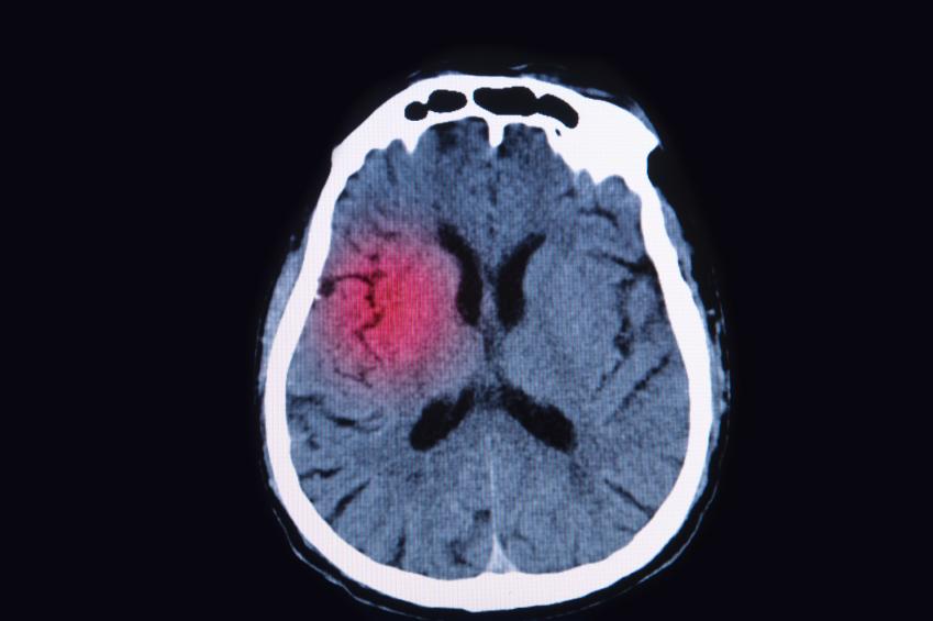
Aneurisma cerebral
Tipo de dor: fisgadas fortes na cabeça
Pontadas na cabeça ou fisgadas podem ser um dos sintomas dessa condição que é caracterizada por uma dilatação anormal de uma artéria no cérebro mas nem sempre apresenta sinais. Além da dor de cabeça forte, pode haver também problemas de visão, rigidez no pescoço, dificuldade para falar e se orientar, convulsões e perda de consciência.
Causas de aneurisma cerebral
- Genética;
- Golpe na cabeça;
- Lesões cerebrais;
- Abuso de substâncias ilícitas.
Tratamento para aneurisma cerebral
Um aneurisma é um problema sério e urgente que deve ser acompanhado por um médico, sendo que em grande parte das vezes é necessário intervenção cirúrgica. Além disso, é imprescindível o controle da pressão arterial e níveis de colesterol, assim como hábitos saudáveis.

Tumor cerebral
Tipo de dor: pontadas na cabeça
Apesar de não ser a causa mais comuns, câncer no cérebro pode provocar dor de cabeça intensa e pontadas que costumam vir acompanhadas de outros sintomas constantes:
Sintomas de câncer no cérebro
- Dor de cabeça forte;
- Paralisia de algum membro do corpo;
- Apraxia: dificuldade em executar movimentos;
- Perda de noção da realidade;
- Perda da vista;
- Náusea e vômitos.
Leitura complementar: Pontadas na cabeça lado direito em cima da orelha, o que pode ser?
Meningite
A meningite já foi uma doença de flagelo sem cura. Hoje em dia é relativamente fácil de tratar, e está na lista de vacinas obrigatórias em crianças. Existem vários tipo de meningite e consoante o tipo, a gravidade pode ir de quase nula a muito grave, requerendo internamento, e até crônica.
Causas da meningite
A meningite se trata de uma inflamação nas meninges, que são as membranas que envolvem o encéfalo. Pode ter várias origens diferentes, sendo as mais conhecidas por vírus, bactérias e fungos. Cada origem dá nome ao tipo de meningite e têm gravidades diferentes.
A meningite por infeção viral pode ser causada por vários vírus. É a mais comum e menos perigosa. Sendo que normalmente nem exige tratamento.
A meningite bacteriana é a mais grave. Pode acontecer quando a bactéria entra na corrente sanguínea e viaja até ao cérebro.
Existe ainda a meningite causada por fungos, mais rara e a única que pode levar a um quadro crônico da doença.
Sintomas da meningite viral
A meningite viral usualmente nem sequer requer tratamento, tem os sintomas de uma pequena constipação, tal como dores de cabeça, pequenos estador febris. Uma alimentação saudável e o consumo de muitos líquidos é o suficiente para o tratamento.
Sintomas da meningite bacteriana
A meningite que tem origem bacteriana é a mais grave, e deixada sem tratamento pode levar mesmo à morte. Neste caso os sintomas irão aparecer repentinamente entre 1 a 2 dias, e podem facilmente ser confundidos com um quadro de gripe.
Os sintomas mais conhecidos são os seguintes:
- Febres altas repentinas
- Dores de cabeça fortes
- Rigidez no pescoço
- Vômitos
- Náuseas
- Dificuldade de concentração e confusão mental
- Convulsões
- Sonolência
- Alta sensibilidade à luz
- Perda do apetite
- Manchas ou rachaduras vermelhas na pele
Em crianças e bebé os sintomas são mais ou menos os mesmos, sendo que podemos acrescentar tensão na moleira, inquietação, irritabilidade e o choro fácil.
Bactérias que podem causar meningite
A meningite bacteriana pode ser causada por uma diversidade de bactérias. Para o tratamento é crucial saber qual foi o tipo de bactéria que originou a infeção.
A Streptococcus pneumoniae (pneumococo) é a bactéria que provoca meningite mais comum. Existe tratamento por via de uma vacina, sendo que esta bactéria pode originar outras doenças como pneumonia.
A Neisseria meningitidis é outras das bactérias, que é altamente contagiosa e pode entrar na circulação sanguínea por meio de infeções respiratórias. É mais usual em jovens.
A Haemophilus influenzae era a principal causa de meningite entre os jovens. No nossos dias está controlada e a vacinação é obrigatória nas crianças. Afeta o sistema respiratório.
A Listeria monocytogenes não demonstra sintomas, no entanto é a bactéria que pode passar durante a gravidez de mãe para bebé. Sendo que pode afetar também idosos e indivíduos com imunidade comprometida, como os portadores de HIV.
Sintomas da meningite fúngica
A meningite fúngica tem os mesmos sintomas que a meningite bacteriana, no entanto é muito mais rara.
Se sentir alguns destes sintomas você deve consultar seu médico. É muito importante detectar estes casos os mais rapidamente possível. Apesar da infeção fúngica não ser contagiosa como a bacteriana, ainda necessita de bastantes cuidados, uma vez que pode levar a um quadro crônica da doença.
Tratamentos para a meningite
Como já referimos acima, cada tipo de meningite tem o seu tratamento. É muito importante o diagnóstico precoce. Assim que sentir alguns dos sintomas deve consultar o seu médico, e realizar uma colheita de sangue para poder ser detectada qual o tipo de meningite com que esta infectado.
Sabendo qual o tipo, o tratamento pode variar, desde apenas medicamentos para as dores, na meningite viral, até ao internamento com antibióticos intravenosos, numa meningite bacteriana ou fungicidas no caso da infeção por fungos.
Prevenção da meningite
Para prevenir a transmissão desta e de muitas doenças, leve as mãos muitas vezes ao dia, uma alta higiene pessoal ajuda muito na prevenção de qualquer doença. Deve, também evitar partilhar objetos pessoais, como escovas de dentes, cigarros ou copos. Tape a boca sempre que tossir ou espirrar.
Quando se preocupar com pontadas na cabeça
Além das causas citadas aqui, existem muitas outras que têm as fisgadas na cabeça ou pontadas na cabeça do lado direito como um sintoma, podendo ser de uma gripe a algo sério. No entanto, você precisa procurar um médico o quanto antes se além de dor de cabeça também estiver sentindo os seguintes sintomas e reações:
- Desmaio;
- Convulsões;
- Vômito;
- Febre alta;
- Dor constante por mais de 4 dias seguidos;
- Confusão mental;
- Dificuldade para se movimentar.
Leitura complementar: Tipos de dor de cabeça
Este artigo é meramente informativo, no umCOMO não temos capacidade de receitar nenhum tratamento médico nem realizar nenhum tipo de diagnóstico. Convidamos você a recorrer a um médico no caso de apresentar qualquer tipo de condição ou mal-estar.
Se pretende ler mais artigos parecidos a 8 causas das pontadas na cabeça, recomendamos que entre na nossa categoria de Saúde Familiar.