Fascite plantar

Como aliviar a dor de um esporão

Como aliviar a dor de um esporão

Um esporão calcâneo ocorre quando se gera uma formação óssea na zona inferior do osso do calcanhar, uma condição dolorosa e bastante incômoda que costuma ser resultado de uma fascite plantar não tratada. Devido a este quadro e aos incômodos que origina no paciente, a intervenção de um podólogo é fundamental para garantir uma adequada recuperação, um processo que pode ser longo. Curar ou tirar um esporão é trabalho de um podólogo, embora também existam alguns remédios naturais que o possam ajudar nisso. Enquanto não vai a um especialista, neste artigo do umCOMO explicamos-lhe como aliviar a dor de um esporão e melhorar seus movimentos.

Também lhe pode interessar: O que é um esporão

Passos a seguir:

1

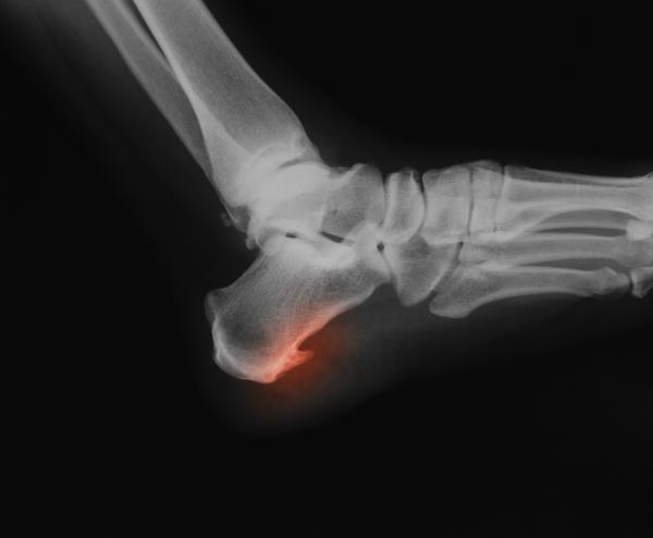
Antes de abordar as formas de aliviar a dor de um esporão, é importante entender exatamente como se forma e porque é importante consultar um podólogo.

No nosso dia a dia exercemos uma grande pressão sobre a planta do pé, pelo que é normal que se tem sobrepeso ou se realiza atividades de impacto com frequência, esta zona acabe por se sobrecarregar. Esta sobrecarga pode fazer com que tanto a almofada que rodeia o calcanhar como a fáscia, que coneta o calcanhar com os dedos do pé, acabem por se inflamar e causar dor após a realização de atividades físicas de impacto, assim como ao pisar após muito tempo sem apoiar o pé, por exemplo quando acordamos.

A inflamação é a forma que o nosso corpo tem para proteger a zona sobrecarregada, o que se conhece como fascite plantar. Se esta condição não for cuidada e tratada, o corpo acabará por gerar uma calcificação na zona, ou seja, uma pequena formação óssea, o que causará dor e incômodos muito mais intensos e importantes, chegando inclusive a afetar a capacidade de caminhar distâncias médias e tendo impacto na realização de atividades cotidianas.

Se acha que se formou um esporão de calcanhar no seu pé, a primeira coisa que deverá fazer é consultar um médico ou especialista para o examinar e confirmar o diagnóstico.

Como aliviar a dor de um esporão - Passo 1
2

Uma das primeiras coisas que será necessário fazer para diminuir a dor causada pelos esporões, será diminuir a atividade física e repousar quando for possível, ou seja, não forçar os seus pés. Deverá evitar especialmente aqueles esportes e atividades que causem impacto direto sobre o osso calcâneo, como pode ser correr, o tênis, saltar à corda, o basquete, entre outros.

No entanto, se quer se manter ativo é possível realizar atividades que não são de impacto, como nadar, andar de bicicleta, fazer remo ou recorrer ao exercício com máquinas.

Como aliviar a dor de um esporão - Passo 2
3

Além disso, o uso de calçado adequado será fundamental para melhorar a inflamação da zona do esporão e reduzir assim a dor na área do calcanhar. Recomendamos sapatos acolchoados, com salto elevado e que se fixem bem no pé, deixando de lá os sapatos planos, duros ou com falta de amortecimentos, pois só aumentarão a sua dor originando mais incômodos.

Como aliviar a dor de um esporão - Passo 3
4

A utilização de palmilhas também pode ajudar a melhorar esta condição, embora seja sempre necessário que seja um podólogo ou especialista ortopédico a determinar o que é melhor para os seus pés.

Recomenda-se a realização de palmilhas personalizadas que sejam feitas a partir de um estudo das necessidades do seu pé, sem dúvida que esta é a alternativa mais adequada.

Como aliviar a dor de um esporão - Passo 4
Imagem: yoymitendinitis.blogspot.pt
5

Para reduzir a dor e a inflamação do esporão, também pode recorrer à aplicação de gelo durante 15 minutos três vezes ao dia. Lembre-se de cobrir a bolsa de gelo com um pano ou gaze antes de o aplicar sobre a zona afetada, para que este não esteja em contato direto com a sua pele, ou optar por compressas frias que poderá reutilizar sempre que precisar.

Se após chegar a casa ou depois de uma caminhada sente incômodos, não hesite em aplicar a compressa fria ou gelo, pois trata-se do aliado perfeito para diminuir os sintomas mais incômodos desta condição.

Como aliviar a dor de um esporão - Passo 5
6

Por outro lado, também são apropriados os alongamentos musculares, especialmente os da panturrilha, para tratar os esporões. Recomendamos-lhe exercícios indicados especificamente para estes casos que poderá praticar você mesmo em casa, com elementos cotidianas como bolas de borracha, toalhas ou apoiando-se em uma mesa. Para os conhecer melhor, consulte o nosso artigo sobre quais são os melhores exercícios para tratar um esporão calcâneo.

Adicionalmente também se pode optar por algumas soluções caseiras para aliviar esta condição, no nosso artigo como curar um esporão com remédios caseiros explicamos-lhe as mais habituais.

Como aliviar a dor de um esporão - Passo 6
Imagem: medicalremedies.files.wordpress.com
7

Às vezes, o excesso de peso é a causa dos esporões, por isso nestes casos será recomendável perder este excesso de peso, pois assim conseguirá combater esta condição, promover o bem-estar dos seus pés e articulações e favorecer sua saúde geral.

É recomendável consultar com o seu médico ou nutricionista sobre qual é a dieta mais adequada para o seu caso, desta forma irá garantir uma perda saudável de peso evitando o possível efeito rebote.

Como aliviar a dor de um esporão - Passo 7
8

Tomar medicamentos para reduzir a inflamação e aliviar a dor de um esporão deverá ser feito através da prescrição de um médico, depois de ter feito o diagnóstico apropriado. Em alguns casos os analgésicos e anti-inflamatórios de venda livre, como o ibuprofeno, costumam ser os recomendados para reduzir os incômodos nestes casos.

Além disso, também é possível recorrer a uma infiltração no esporão calcâneo como tratamento, procedimento que deverá ser dirigido por um profissional.

9

Em determinados casos, quando todos os outros métodos não forem eficazes na hora de tratar o esporão e a dor que produz, o podólogo ou médico que o estiver a tratar pode determinar a cirurgia como a única solução para o problema. Esta é uma medida que se aplica apenas em pacientes que não mostram evolução perante outros tratamentos como os exercícios, o repouso ou a aplicação de frio na zona.

Este artigo é meramente informativo, no umCOMO não temos capacidade de receitar nenhum tratamento médico nem realizar nenhum tipo de diagnóstico. Convidamos você a recorrer a um médico no caso de apresentar qualquer tipo de condição ou mal-estar.

Se pretende ler mais artigos parecidos a Como aliviar a dor de um esporão, recomendamos que entre na nossa categoria de Saúde Familiar.

Artigos relacionados
Escrever comentário
O que lhe pareceu o artigo?
78 comentários
A sua avaliação:
Ruth nea Pereira de Oliveira
Boa noit eu cinto muita dor num calcanhar mim ajude obrigado
Janira Ricardo dos Santos
Qual o remédio para tirar as dores de um esporão do lado direito do pé
regina
queria te livramento sobre esta dor ?
Hugo
Não desejo essa dor, nem para o meu chefe! remédios só aliviam momentaneamente, não adiantam, só com o tempo é que ameniza!
regina silva scheffer
quero saber com cura um esporao pois a dor e isupotavel
WEIDA
FOLHAS DE COUVE 5FOLHAS DE COUVE AMASSAR BEM ATE SAIR O SUCO COLOCAR NA DOR, COLOCAR EM UM ALGODAO PASSAR UM PLASTICO EM VOLTA ENFAIXAR, COLOCAR UMA MEIA FAZER SO A NOITE DURANTE 7 DIAS DESCANSA 7 DIAS . FOI OTIMO PARA MINHA SOGRA ELE COLOCOU, CLARO NAO MISTURADO COM A COUVE CEBOLA FOI OTIMO OS RESULTADOS FAZER SO A NOITE . BOA SORTE
palmira dias bernardo
Tenho muitas dores no calcanhar jà fas um mês jà estava melhor mas hoje andei muito e d'or maior recomeçou de novo esperando sua respostas d'avance um muito obrigado
Nídia Figueira (Editor/a de umCOMO)
Oi Palmira! Você já experimentou as dicas do texto?
pericles costa cabral
existe algum remedio que alivie a dor do esporão??
Kati
Ola, o ortopedista indicou o remédio garra do diabo, chá caseiro. Ou você pode comprar o comprimido na farmácia com o nome de herbarium.
Editor umComo.com.br
Oi Kati! Valeu pela dica!
A sua avaliação:
keila cruz
sinto muita dores e nada alivia o q fazer
A sua avaliação:
MARIA DO SOCORRO COELHO
Eu cai no corredor da minha casa com o joelho esquerdo todo no chao,parece que feriu dentro apos alguns dias sinto dores no calcanhar será que é influencia da queda sinto muita dor no calcanhar.
Marglei cunha Sanches
Eu tenho esporao no calcanhar direito e doi muito nao quero jamais fazer cirurgia mesmo por que não tenho condições . Como que eu faço ??? Preciso de ajuda
Lili
A oito meses mais ou menos fui diagnosticada com essa m.. fiz de tudo, fisio, remedio, alongamento e até comprei um chinelo especifico(caro pra caramba) e nada resolveu. Comecei a ter uma dor terrível do lado, pois estava andando torta. Assim que fui diagnosticada procurei na internet e vi um video no you tube sobre um tratamento caseiro, mas nem dei importância. Ontem resolvi fazer o tratamento, gente eu nao acreditei acordei hoje sem dor nenhumaaaa, uma sensação maravilhooosa de colocar o pé no chao certinho sem dor. Estou tão feliz que resolvi compartilhar. Bom não sei até quando vou ficar assim, espero que seja pra sempre, por via das dúvidas vou fazer hoje novamente. Mas por hora estou muito feliz!!
Regina
otimo, parabens pra vc que se livrou desse incomodo. so se esqueceu de falar qual foi o tratamento usado para se livrar da maldita dor
kelly
Lili como faço pra acesar este canal
Josane
Oi me passar pó favor o vídeo.pois eu estou com isso não estou aguentando a dor.obrigada.
maria de pilar marques paya
Por favor me envie esse video pq estou enlouquecendo de dor
gladis
por favor O QUE VC FEZ??? já fui no médico e nada melhora, TENHO MUITA DOR, AGUARDO SER RETORNO
regina silva scheffer r
o que tu fez que melhorou a dor diz q voce fez
Michelle Santos de Assis
Passa pra mim por favor o que vc fez para passar a dor
Cleonilde santos Barbosa
Tenho esporão nos dois pés dói muito adorava fazer caminhada tive que parar e além disso to acima do peso desde que parei de fumar engordei absurdo o que fazer
Andréa
Emagreça o sobrepeso é uma das causas do esporão calcaneo. Hidroginástica melhor exercício pra quem tem essas dores e precisa perder peso
gladis
tenho muita dor no calcanhar , já fui no médico e não resolveu, li seu comentario o o que vc fez??? por favor me ensina
obrigada
Debora
Coloque os pes com algua gelada e coloque gelo da bastante alivio e fuciona
Roseli
Eu não tô aguentando de dor estou até andando com dificuldade por causa do esporão.
Catarina
Tenho muita dor de chorar como aliviar
Catarina
Tenho muita dor exporao calcaneo fiz rx Dói muito ao andar
Arlete Analio
Q remédio caseiro posso fazer para tirar a dor do esporão
Barbara Afonso
Como acabar com o esporão?
Rosimar Jorge Pereira
Tenho exporao nos dois pés e estou sofrendo horrível dores o que devo fazer me ajude por favor
Imagem: yoymitendinitis.blogspot.pt
Imagem: medicalremedies.files.wordpress.com
1 de 8
Como aliviar a dor de um esporão